Categoría: Osteoporosis
increíble pero cierto
Mensaje recibido en los buzones de correo institucional de los funcionarios de la Comunidad de Madrid. Si como suponemos «conocer el estado de salud de tus huesos.» es hacer una densitometría oséa, deberíamos recordar a los promotores que este tipo de campañas están alejadas de toda evidencia científica. No se recomiendan por ningun organismo o institución medica seria y menos aun en las edades que aquí se propone. Este tipo de examenes de salud no es un habito saludable y lo único que consiguen con este tipo de pruebas es aumentar la medicalización, generar gasto y causar daños potenciales a personas sanas
Texto del mensaje
Buenos días a todos!
La DG de Función Pública de la Comunidad de Madrid, dentro del programa “Por mi Bienestar” que promueve, como una de las líneas esenciales para la prevención de riesgos, la implantación de hábitos de vida saludables entre sus empleados, se suma a la celebración el próximo 20 de octubre del Día Mundial de la Osteoporosis, de ahí que te ofrezcamos la posibilidad de conocer el estado de salud de tus huesos.
Esta campaña va especialmente dirigida a todos los trabajadores/as de la Comunidad de Madrid que tengan más de 45 años; a las mujeres comprendidas entre los 40 y los 55 años; y a todos aquellos que hayan recibido tratamiento prolongado con corticoides.
Si estas interesado en participar en la campaña, pide cita a través del correo habitossaludables@madrid.org. Las citas para las pruebas de reconocimiento se llevarán a cabo el próximo día 20 de octubre, en la sede del Servicio de Prevención, en la plaza Conde Valle de Suchil 20 1º planta en Madrid en horario de 9.30 h a 14.30 h y de 15.30 h a 19.00 h.
TE AYUDAS, TE AYUDAMOS A CUIDARTE
Puedes escribir al correo habitossaludables@madrid.org y manifestar tu desacuerdo con este tipo de campañas
Osteoporosis: mucho ruido y pocas nueces (1)
El Annals of Internal Medicine ha publicado hace poco* una revisión sistemática titulada Comparative Effectiveness of Pharmacologic Treatments to Prevent Fractures: An Updated Systematic Review. Este artículo es una versión condensada y más actualizada de una revisión de la evidencia llevada a cabo por la Agencia para la Investigación y Calidad de Sanitaria (AHRQ por sus siglas en ingles) americana. Esta última revisión actualiza a su vez una publicada en 2007. Los autores revisan la evidencia sobre la eficacia yefectividad, de forma aislada y comparada, de alendronato, etidronato, ibandronato, risedronato, ácido zoledrónico, estrógenos, hormona paratiroidea, raloxifeno y denosumab en la prevención de fracturas osteoporóticas. También contempla aspectos del manejo de esta enfermedad como la duración y monitorización del tratamiento.
Los ensayos clínicos y metanálisis que encontraron tras actualizar la búsqueda previa, muestran que hay evidencia de buena calidad de que estos fármacos disminuyen las fracturas osteoporóticas, aunque no todos previenen específicamente las fracturas de cadera. Por ejemplo el efecto de ibandronato en la reducción del riesgo de fractura de cadera es poco claro debido a la fractura de cadera no se informó por separado en los ensayos controlados con placebo de este medicamento. El etidronato y el raloxifeno han demostrado en ensayos controlados con placebo reducir sólo fracturas vertebrales.
Uno de los fármacos que en la revisión se contempla especialmente por su novedad es el denosumab. Es curioso que se le admita como “reductor” de fracturas de cadera y que en concreto se diga:
The data for denosumab came from 2 placebo-controlled trials in postmenopausal women, one of small size (332 enrolled women) (20) and a much larger study that followed 7521 women for 36 months (21). This latter study found statistically significant reductions in each anatomical fracture type measured (hip, nonvertebral, vertebral, and new clinical vertebral), with hazard ratios of 0.31 to 0.80
La referencia número 20 de la revisión a la que se refieren es un ensayo clínico en que la variable de resultado que se midieron era el cambio porcentual en la densidad mineral (DMO) en diferentes regiones óseas. Aunque sabemos que una baja densidad ósea aumenta el riesgo de fracturas, es también sabido el escaso valor predictivo positivo de la densitometría y por tanto su escasa capacidad para predecir las fracturas.
La referencia 21 es el famoso estudio FREEDOM. En este la reducción de fracturas de cadera es una variable secundaria, la diferencia absoluta es muy pequeña y solo estadísticamente significativa cuando se tiene en cuenta el hazard ratio y no las diferencias absolutas. En la palabras de Juan Erviti autor de una lectura crítica de este estudio, publicada en el Bit-Navarra
“es cuestionable que el denosumab sea eficaz en la prevención de fracturas de cadera”.
En la pagina web del Bit-Navarra se puede leer la replica del laboratorio fabricante a esta lectura critica y la consiguiente contra-replica.
En cualquier caso parece que no estaría justificada la creencia de que este medicamento por su forma de administración, o su novedad es el escalón siguiente para pacientes en los que los bifosfonatos no se consideran adecuados. Lo estamos viendo en muchas «consultas especializadas» con el falaz argumento de su «potencia» o de favorecer la continuidad y adherencia terapéutica. Sospechosos argumentos que también se representaron en una campaña promocional con la excusa de la protección de la salud osea de la mujer mayor, con protagonistas habituales de este tipo de eventos junto a, como es habitual también, personajes famosos.
Continuara……….
Terror en el hipermercado
En el proceloso y pervertido mundo de la osteoporosis proliferan (1) las sociedades científicas que contemplan aspectos más o menos parciales de esta enfermedad. Una de estas nuevas sociedades The European Society for Clinical and Economic Aspects of Osteoporosis and Osteoarthritis (ESCEO) ha publicado, en unión con la IOF, un position paper donde descaradamente se anuncia y recomienda un productos lácteo concreto como es Densia (o Danaos según los paises) así como una leche enriquecida finlandesa.
Cuando leí la versión española creí que era un añadido de la compañía (Danone) que facilitaba el folleto publicitario. En esta «literatura» junto a entrevistas con los consabidos expertos de plantilla (internacional, nacional y de atención primaria) aparece reseñada la sección de nutrición de esta guía europea para el diagnóstico y tratamiento de la osteoporosis en mujeres posmenopáusicas:
No me lo podía creer. Para comprobarlo fui a la versión original y para mi estupor y sorpresa se mantenía este anuncio-recomendación.
¿Guías anuncio? ¿Guías para rellenar folletos publicitarios? Desde las guías del ministerio y los algoritmo valencianos no habíamos visto una forma de empobrecer y asaltar el concepto de guías de práctica clínica como este (2).
Como se ha comentado en un reciente y provocador artículo titulado Sociedades Científicas, S.A (vía EL Mundo Salud ), cada vez es más evidente la existencia de un número importante de sociedades médicas con lazos comerciales, no ya con la industria farmacéutica, sino con otro tipo de compañías, la mayoría de ellas del sector de la alimentación. Estas compañías con todo su potencial económico, se sirven de las sociedades científicas médicas como apoyo para ganarse la confianza del consumidor, y asegurar unas presuntas propiedades saludables a sus productos. Estas sociedades (o sus directivos) con necesidades de financiación hipertrofiadas acceden gustosas a participar con su nombre, en lo que no deja de ser un anuncio, o acto promocional más.
El mundo de la osteoporosis ya saturado de patrocinios, campañas y otras promociones menos confesables de la industria farmacéutica, se ha aliado con los nuevos proveedores de cash. Lo que uno no se esperaba es que lo hicieran de forma tan directa, sin descaro, ni vergüenza. Una asociación que se preocupa por diminuir las fracturas de nuestras mujeres, no puede aparecer como logotipo en el anuncio donde la cincuentona famosa de turno anuncia un yogurt. Igualmente si una sociedad científica pretende que su opinión se tome en cuenta (y así lo reclaman para asuntos tan importantes como el calendario vacunal), no puede aparecer en el packaging de unas galletas, .
Es cuestión de ética pero también de estética.
Sin entrar en el juanainesiano debate de quien es más de culpar, si la que peca por la paga o el que paga por pecar, la subsistencia de las sociedades no debería pasar por obtener esta regalías de las compañías comerciales. No las necesitan, y si así fuera seria hora de acabar con todas las ligas, fundaciones asociaciones, sociedades científicas, y comenzar de nuevo.
(1) Curioso efecto que algún día habrá que estudiar y que con toda probabilidad encuentre una relación directa con el dinero invertido por las corporaciones farmacéuticas y alimentarias, y no con la relevancia científica.
(2) Observación: mucho peor este caso de la SCEO que además se disfraza como position paper, pero se vende como guía, por lo de imperativo que tiene.
Cuando el remedio es peor que la enfermedad
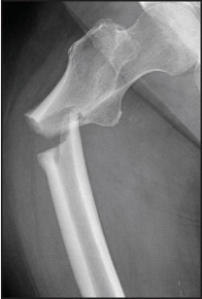
Un estudio anidado de casos y controles realizado con mujeres españolas mayores de 65 años encontró una fuerte asociación entre el uso de bifosfonatos y el aumento del riesgo de fractura femoral atípica. Estos resultados añaden nuevas pruebas a las publicadas en los últimos años en el mismo sentido y hacen obligatoria la prescripción cuidadosa de estos fármacos, evitando su uso en mujeres con bajo riesgo de fractura.
Reseña publicada en 7SETmanal Butlletí electrònic d’actualització de coneixements en atenció primària de salut en la web. @7SETmanal
Desde la publicación en 2005 del primer estudio que alertaba sobre los efectos perjudiciales de los bifosfonatos debido a la supresión de la remodelación ósea, se han ido acumulando evidencias, que hemos recogido en varios números (8, 15) de 7SETmanal, sobre el aumento de fracturas atípicas en relación con su uso prolongado.
Este estudio anidado de casos y controles realizado por investigadores de Navarra evaluó la relación entre uso de bifosfonatos y el riesgo de fracturas de fémur en mujeres de 65 años o más de la población española a partir de la base de datos BIFAP (Base de Datos para la Investigación farmacoepidemiológicos en Atención Primaria), que incluye información anónima desde 2001 de> 13,7 millones de persona-años de seguimiento. Una particularidad del estudio es que se ha llevado a cabo en población mediterránea con menor riesgo de fracturas en comparación con los países anglosajones y del norte de Europa.
Los casos se definieron como mujeres de 65 o más años con un primer diagnóstico de fractura subtrocantèrica o diafisaria registrado entre el 1 de enero de 2005 y el 31 de diciembre de 2008, con un seguimiento de al menos 1 año en labase BIFAP antes de la fecha del ingreso (fecha índice). Se excluyeron mujeres con antecedente de cáncer, enfermedad de Paget, fractura de cadera previa o cualquier fractura resultado de traumatismo o accidente de tráfico. Por cada caso se seleccionaron 5 controles sin historia de fractura de cadera en el momento de la fecha índice, emparejados por edad y por el mismo año de registro en la base BIFAP.
El análisis incluyó 44 casos y 220 controles emparejados (media de edad de 82 años). El uso de bifosfonatos en algún momento fue más frecuente en los casos que en los controles (29,6% versus 10,5%) con una odds ratio [OR] de la fractura de fémur atípica de 4,30 (intervalo de confianza [IC] 1,55 hasta 11,9) a favor de las mujeres que habían tomado bifosfonatos frente las que no habían tomado nunca. El riesgo aumentó con el uso prolongado, con una OR de 9,46 (IC 2,17 a 41,3) al comparar el uso de bifosfonatos durante más de 3 años con el no uso.
Los bifosfonatos reducen el remodelado óseo, inhibiendo la resorción a través de la apoptosis de osteoclastos, pero también la formación para que los osteoblastos que la producen son activados por los mismos osteoclastos. Los bifosfonatos también debilitan la estructura de colágeno y producen la acumulación de lesiones microscópicas de la estructura ósea que no pueden ser reparadas por la inhibición concomitante de la formación de hueso. Además hay un patrón radiológico que se repite en las fracturas relacionadas con bifosfonatos y se ha definido una localización típica de estas en las regiones del fémur donde hay una carga máxima de tensión.
Así pues, hay razón biológica, radiológica y mecánica para explicar el aumento de fracturas atípicas con el uso de bifosfonatos.
Una de las principales limitaciones es el número pequeño de casos, que impide hacer análisis de subgrupos de fármacos y la no disponibilidad de las imágenes radiológicas de las fracturas, aunque se disponía de los informes detallados de los procedimientos quirúrgicos para tratarlas. Un diseño de cohortes permitiría obtener mejor evidencia.
La fuerte asociación entre el uso de bifosfonatos y el aumento del riesgo de fracturas atípicas en mujeres españolas de más de 65 años y bajo riesgo de fractura encontrada en este estudio, se añade a la evidencia acumulada con otros estudios realizados con poblaciones con más riesgo y pone de relieve que hay que ser muy cuidadosos a la hora de indicar bifosfonatos. Especialmente en nuestro medio podría ser peor el remedio que la enfermedad.
Erviti J, Alonso A, Oliva B, Gorricho J, Lopez A, Timoner J, Huerta C, Gil M and De Abajo F. Oral bisphosphonates are associated with increased risk of subtrochanteric and diaphyseal fractures in elderly women: a nested case-control study. BMJ open. 2013; 3 (1)
No tengas prisa en utilizar medicamentos de reciente comercialización
13
No tengas prisa en utilizar medicamentos de reciente comercialización
——————————————————————————————————
Juan Erviti López
Farmacéutico del Servicio Navarro de Salud-Osasunbidea
juan.erviti.lopez@cfnavarra.es
Incluso cuando un nuevo fármaco es aparentemente seguro o efectivo la experiencia de uso es, generalmente, limitada; no ha pasado el tiempo suficiente y/o muy pocos pacientes han sido expuestos a su efecto para identificar las reacciones adversas menos frecuentes o aquéllas que aparecen a largo plazo. Los genéricos, por llevar más tiempo en el mercado, son por lo general más seguros debido a su larga trayectoria. Algunos han apelado a la regla de los 7 años (esperar 7 años antes de utilizar un nuevo fármaco) basándose en datos que demuestran que, a menudo, son necesarios de 5 a 10 años para conocer con detalle el perfil de seguridad de un fármaco.
Juan Erviti López para iniciativa por una prescripción prudente
Diapositivasen http://www.box.com/s/yxdxivt2c3lu9y0yyo4i
A no ser que en el documento figure lo contrario este trabajo se encuentra dentro de la Iniciativa para una Prescripción Prudente por Varios Autores sujeta a una licencia Creative Commons un Reconocimiento-NoComercial-CompartirIgual 3.0 Unported (CC BY-NC-SA 3.0)
de como la teletienda no puede hacer nada por tus huesos
Resúmenes para pacientes
Vibraciones en todo el cuerpo ( mediante plataformas vibratorias) como prevención de la perdida de masa ósea.
Whole-Body Vibration Therapy for the Prevention of Bone Loss
Resúmenes para pacientes son un servicio proporcionado por la revista Annals of Internal Medicine para ayudar a los pacientes a comprender mejor el lenguaje complicado y a menudo desconcertante de la medicina moderna.
¿Cuál es el problema y qué se sabe sobre él hasta ahora?
Después de la menopausia, las mujeres experimentan con frecuencia pérdida ósea progresiva,lo que las coloca en mayor riesgo de fracturas óseas. Hacer ejercicio y recibir suplementos de calcio y vitamina D, aunque útil, no siempre previene la pérdida ósea o la necesidad eventual de tomar medicamentos para prevenir la pérdida osea y fracturas. La Vibraciones en todo el cuerpo o «de cuerpo completo» (WBV por las siglas del origina Whole-body vibration (WBV), en ingles), consiste en situarse de pie sobre una plataforma oscilante durante varios minutos cada día,se ha postulado como una posible manera de prevenir la pérdida ósea, y varias empresas han estado comercializando dispositivos WBV al público. Pero no se sabe si la WBV funciona en la prevención de la pérdida de masa ósea en las mujeres después de la menopausia.
¿Por qué los investigadores hacer este estudio en particular?
Para saber si WBV además de suplementos de calcio y vitamina D reduce la pérdida ósea en las mujeres después de la menopausia.
Que se ha estudiado?
202 mujeres que habían experimentado la menopausia y que tenían una masa ósea baja pero no lo suficiente como para requerir tratamiento con medicamentos.
¿Cómo se hizo el estudio?
Los participantes fueron asignados aleatoriamente para recibir WBV en cualquiera de dos velocidades o a un grupo control. Las asignadas a los grupos de WBV se les pidió que estuviesen en la plataforma WBV 20 minutos cada día. Las mujeres en los tres grupos recibieron suplementos de calcio y vitamina D. La densidad ósea se midió al inicio y al final del estudio.
¿Qué hicieron los investigadores a encontrar?
Aunque WBV fue bien tolerado, la tasa de pérdida ósea no fueron diferentes entre los grupos. Las mujeres en cada uno de los dos grupos WBV perdieron densidad ósea en la misma proporción que las mujeres en el grupo control durante el año de estudio.
¿Cuáles fueron las limitaciones del estudio?
A las mujeres del grupo control no se le s pudo proporcionar una plataforma de imitación, que no diera este tipo de vibraciones o WBV real. No todos los participantes realizaron WBV cada día durante el estudio.
¿Cuáles son las implicaciones del estudio?
Las vibraciones de cuerpo completo no deberían ser recomendada para prevenir la pérdida ósea en mujeres que reciben suplementos de calcio y vitamina D.
Autor del artículo y la información
El estudio integro se titula «Efecto de los 12 meses de terapia de vibración de cuerpo entero en la densidad ósea y la estructura en mujeres posmenopáusicas. Un ensayo aleatorizado «. Se publico el 15 de noviembre 2011 en Annals of Internal Medicine (volumen 155, páginas 668-679). Los autores son L. Slatkovska, Alibhai SMH, Beyene J., Hu H., A. Demaras, y Cheung AM.
Los resúmenes para pacientes se realizan únicamente con fines informativos . Estos resúmenes no son un sustituto del consejo de su médico. Si usted tiene preguntas acerca de este material, o necesita asesoramiento médico sobre su propia salud o situación, por favor póngase en contacto con su médico. Los resúmenes pueden ser reproducidos con propósitos educativos o informativos, sin fines de lucro. Cualquier otro uso debe ser aprobado por el Colegio Americano de Médicos.
la maldición de la osteoporosis
Resumen:
Susan Ott es una médico Internista especializada en enfermedades metabólicas que mantiene un magnifico curso on line sobre osteoporosis de gran utilidad para los que quieren desbrozar y aclararse en el proceloso mundo de la osteoporosis y su tratamiento. Susan es la autora de una revisión publicada en la revista Cleveland Clinic Journal of Medicine cuyo objetivo es determinar la duración optima del tratamiento para la osteoporosis y que ha tenido bastante repercusión en nuestro país, tanto en prensa general, como blogs especializados.
Importante este tema de la duración de los tratamientos que en nuestro país se suele zanjar con el contundente «de por vida».
En esta revisión se recomienda suspender el tratamiento con bifosfonatos a los cinco años. La autora no se recata en decir que las razones para esa afirmación son una mezcla de opiniones y débiles evidencias. Las recomendaciones que da para el manejo de la suspensión del tratamiento y control posterior de los pacientes están basadas en su opinión y experiencia ante la escasez de pruebas fehacientes que sirvan para guiar la toma de decisiones. Felizmente también nos recuerda que muchas de las decisiones, no solo ya de continuar el tratamiento con estos medicamentos, sino incluso de iniciarlo en determinados casos (osteopenia, riesgo bajo de fracturas, densitometría como único criterio, medicina basada en el marketing) carecen, asimismo, de pruebas suficientes.
En cualquier caso se debe recordar el aforismo que da nombre a ese blog “Primun non nocere”
Con la misma lucidez que nos lleva reconocer su poca evidencia, NO habría que tener recato en suspender a los cinco años un tratamiento que probablemente no se debía haber empezado. En los casos en que esa indicación estuviera más clara, una explicación fisiológica, la ausencia de beneficio (que no es lo mismo que beneficio de la ausencia) y la probabilidad (pequeña) de efectos adversos como la fracturas atípicas serian suficientes, a la espera de mejor evidencia, para establecer la duración óptima del tratamiento con bisfosfonatos para la osteoporosis en cinco años.
el gasto en huesos (II)
¿Qué pacientes podrían beneficiarse del tratamiento farmacológico?
Pues parece que pocos, vamos solo estaría claro en prevención secundaria. En prevención primaria, es decir sin fracturas clínicas previas, solo estaría claro en pacientes de elevado riesgo de fractura y edad avanzada. Un dato curioso y que avalaría una postura todavía más restrictiva es comprobar que el consumo de fármacos contra la osteoporosis se ha multiplicado seis veces desde el año 2000 a 2009.
Sin embargo como muestra un estudio observacional realizado en Galicia la evolución temporal de la tasa de incidencia media de fractura de cadera no se ha modificado en este tiempo
Como concluyen los autores*:
En la actualidad los fármacos disponibles para el tratamiento de la osteoporosis han demostrado eficacia principalmente en población de elevado riesgo de fractura y en la prevención de fracturas vertebrales morfométricas. Sólo el alendronato, risedronato zoledrónico y denosumab han demostrado un beneficio marginal en la prevención de fractura de cadera en pacientes de edad avanzada y fracturas vertebrales previas u otros factores de riesgo clínicos. Por otro lado, es muy importante tener en cuenta que estos fármacos no están exentos de efectos adversos graves, por tanto es necesario reservarlos para pacientes de riesgo basal elevado y evitar exponer a efectos adversos a la población de bajo riesgo en la que los fármacos prácticamente no han mostrado eficacia.
Los estudios realizados recientemente en España concluyen, por un lado, que sólo con alendronato se obtiene una razón coste-utilidad incremental aceptable cuando la mujer inicia el tratamiento con 69 o más años de edad, y por otro, que no se producen variaciones en la curva epidemiológica de la fractura de cadera a pesar del aumento de consumo de fármacos. Por tanto, en España, el elevado consumo de fármacos para la osteoporosis no está justificado por razones de eficacia, seguridad y coste, siendo completamente imprescindible estimar el riesgo absoluto de fractura en los próximos años a la hora de decidir instaurar una terapia farmacológica.
Jamart Sánchez L, Herrero Hernández S, Barreda Velázquez C. ¿Está justificado el gasto en fármacos contra la osteoporosis? FMC. Form Med Contin Aten Prim.2011; 18 (6) :317-20
el gasto en huesos (I)
En un brillante editorial de la revista FMC *, Lucia Jamart et al se preguntan si está justificado el gasto en fármacos contra la osteoporosis. Creen que el uso esta justificado en tanto y cuanto estos medicamentos disminuyan el riesgo de fractura, y por tanto conviene repasar los determinantes de este riesgo. El riesgo absoluto de fractura se puede estimar en función del país de procedencia, la edad y los factores de riesgo clínicos consistentes.
El riesgo de fractura varía con la localización geográfica.
En España la probabilidad de presentar una fractura de cadera es mucho menor que en otros países.
Sin embargo España ocupa el primer puesto de consumo de fármacos para la osteoporosis.
La edad avanzada es el factor de riesgo más importante de fractura.
La incidencia de fractura de cadera aumenta marcadamente a partir del intervalo de edad de 75 a 79 años, de forma que el 95% de las fracturas de cadera se producen en mujeres mayores de 65 años, siendo el porcentaje del 85% si se consideran las mayores de 75 años.
Sin embargo los medicamentos contra la osteoporosis se utilizan sobre todo en la franja de edad que va de los cincuenta a los sesenta setenta años.
Los factores de riesgo clínicos realmente importantes no son tantos
A pesar de la pleyade de factores de riesgo que se invocan en la osteoporosis solo unos pocos son verdaderamente importantes, es el caso de antecedente familiar de fractura, antecedente personal de fractura periférica después de los 50 años, fractura vertebral previa e índice de masa corporal2 ≤ 19 kg/m2.
Sin embargo se le da un papel estelar a una gran cantidad de elementos que incluyen algunos factores de riego poco potentes, factores de riesgo de otros factores e igualmente se confunden factores de riesgo de fracturas con causas de osteoporosis secundaria.
La siguiente pregunta es ¿Qué pacientes podrían beneficiarse del tratamiento farmacológico? peo eso lo dejamos para mañana
* Jamart Sánchez L, Herrero Hernández S, Barreda Velázquez C. ¿Está justificado el gasto en fármacos contra la osteoporosis? FMC. Form Med Contin Aten Prim.2011; 18 (6) :317-20
Bisfosfonatos y riesgo de fractura atípica de fémur
Los bisfosfonatos se asocian con un incremento del riesgo de aparición de fracturas atípicas femorales, por lo que se recomienda a los profesionales sanitarios lo siguiente:
- examinar ambas extremidades en pacientes tratados con bisfosfonatos que puedan presentar una fractura atípica femoral, ya que frecuentemente son bilaterales
- valorar la suspensión del tratamiento con el bisfosfonato en base a la situación clínica del paciente, en caso de que se sospeche la aparición de una fractura atípica
- reevaluar periódicamente la necesidad de continuar el tratamiento con bisfosfonatos en cada paciente, particularmente después de 5 años de tratamiento
Los bisfosfonatos son la pieza central de la farmacoterapia en la osteoporosis. Sin embargo, han surgido preocupaciones de que su uso a largo plazo puede aumentar relativamente algunos de los tipos raros de fractura debido a la supresión de la remodelación ósea. Estos investigadores de Canadá y Arabia examinaron si la terapia con bifosfonatos durante más de cinco años se asocia con un mayor riesgo de fractura de tipos diferentes. Se realizó una base poblacional, estudio de casos y controles anidado en una cohorte de mujeres de 68 años de edad y mayores que se iniciaron con bisfosfonatos orales. Los casos con una fractura de la diáfisis femoral o subtrocantéreas fueron emparejados con un máximo de 5 controles.
«Los investigadores informaron: «Se identificaron 716 mujeres que sufrieron fractura de la diáfisis femoral o subtrocantéreas después de la iniciación de la terapia con bifosfonatos y 9.723 mujeres que sufrieron una fractura osteoporótica típica de la región intertrocantérea o del cuello del fémur en comparación con el uso transitorio de bifosfonatos, el tratamiento durante 5 años o más se asoció con un mayor riesgo de fractura de la diáfisis femoral o subtrocantéreas (odds ratio ajustado, 2,74). Reducción del riesgo de fracturas osteoporóticas típicas producido entre las mujeres con más de 5 años de tratamiento con bisfosfonatos (odds ratio ajustado, 0,76). Entre las 52.595 mujeres con al menos 5 años de tratamiento con bisfosfonatos, una fractura de la diáfisis femoral o subtrocantéreas ocurrió en 71 (0,13%) durante el año siguiente y 117 (0,22%) después de 2 años. »
Los investigadores concluyeron: «Entre las mujeres mayores, el tratamiento con un bifosfonato de más de 5 años se asoció con un mayor riesgo de eje subtrocantéreas o fracturas femorales. Sin embargo, el riesgo absoluto de estas fracturas es baja.
Para el resumen completo, haga click aquí. El uso de bifosfonatos y el riesgo de fracturas del eje subtrocantéreas o femoral en mujeres mayores. Laura Y. Park-Wyllie, Muhammad M. Mamdani, David N. Juurlink, et al. JAMA 305 (8) :783-789, 23 de febrero 2011 © 2011 American Medical Association
Problemas óseos asociados al uso de bisfosfonatos: ¿evitan o producen fracturas? Erviti J. BIT: Volumen 17, número 5. Noviembre – diciembre 209





